Articoli

Tutto sul nostro settore


Ottobre 22, 2014 Newsletter

Con l’arrivo dell’autunno comincia la periodica raccolta di funghi commestibili, la cui crescita è favorita dalle condizioni umide e dalla presenza di un suolo continuamente arricchito di nuova materia organica, le foglie che cadono dagli alberi. Tutto questo permette lo sviluppo e la crescita dei funghi che sfruttano la materia organica morta per svilupparsi nelle forme e colori che tanto affannosamente ricerchiamo nei luoghi più umidi e ombreggiati dei boschi.

Pochi sanno, tuttavia, che i funghi sono anche delle vere e proprie “spugne” di metalli pesanti e, tra questi, di nichel, sostanza chimica presente in natura praticamente in tutti i suoli.
Oltre al Nichel, alcune varietà di funghi possiedono anche tracce di lattosio, con conseguenti problemi in chi è particolarmente sensibile a questo zucchero. Bisogna inoltre ricordare che i funghi producono naturalmente sostanze antimicrobiche e tali sostanze, anche se in piccola quantità, sono ancora presenti nei funghi edibili, con effetti negativi sulla composizione della flora batterica intestinale.

Quando a far le spese di questa sovrabbondanza di molecole sono i lattobacilli e i Bifidobatteri presenti nel nostro intestino, Candida albicans, fungo naturalmente presente nel tratto intestinale e nostro commensale (ci aiuta infatti nella digestione degli zuccheri), diventa aggressiva, mutando la sua struttura e trasformandosi in una forma invasiva. Candida albicans, nella forma patogena, è capace di provocare microfessure nell’epitelio intestinale (DISBIOSI), portando inevitabilmente al passaggio, attraverso tali aperture, di macromolecole alimentari, non completamente digerite, verso il sangue, con l’insorgenza dei sintomi tipici di un’intolleranza alimentare come gonfiore, stanchezza, sonnolenza post-prandiale, aereofagia, stipsi, cefalea, dermatiti, nausea, irritabilità etc.

Anche coloro che soffrono di intolleranza ai lieviti devono far attenzione ai funghi edibili: i lieviti, infatti, fanno parte dello stesso ramo evolutivo dei funghi. Consumare troppi prodotti lievitati può quindi portare il nostro sistema immunitario a riconoscere e reagire allo stesso modo nei confronti dei funghi commestibili.

Scoprire se la causa dei nostri disturbi gastrointestinali è riconducibile ad un’intolleranza ai lieviti o ai funghi è molto semplice: attraverso la metodica ALCAT e in particolare il pannello
ALCAT 30 è possibile verificare la reazione del nostro corpo non solo ai lieviti (lievito chimico, lievito di birra e Candida albicans), ma anche ai funghi (Reishi, Maitake, Cordyceps, Champignon e Shiitake) per evitare spiacevoli e “lievitanti” sorprese al nostro organismo.



Agosto 1, 2014 Newsletter

La tiroide è una delle principali ghiandole endocrine (produttrici di ormoni) che svolge un ruolo fondamentale nel controllo delle cellule e dei vari tessuti dell’organismo, con una forte influenza sulle molteplici funzioni corporee (peso corporeo, colesterolo, battito cardiaco, vista, massa muscolare, ciclo mestruale, stato mentale, cute e capelli).

La patologia più comune della tiroide è l’ipotiroidismo, la ridotta funzionalità della ghiandola che si ripercuote sulla riduzione della produzione di energia da parte delle cellule, con conseguente riduzione dell’attività metabolica. In pratica, l’organismo rallenta la produzione di ormoni e quindi il consumo di energia. Le donne sono più colpite rispetto agli uomini, con un rapporto che può arrivare a 5 donne su 1 uomo colpito. I sintomi più comuni, che passano spesso inosservati, sono:
stanchezza, freddolosità, letargia, aumento di peso, capelli secchi e sfibrati, pelle secca e ipotonica, etc.

La condizione opposta è l’ipertiroidismo, ossia un aumento delle produzione di ormoni tiroidei con conseguente aumento della produzione di energia, noto con il nome di morbo di Graves-Basedow.
Spesso è di origine auto immune, con produzione di anticorpi rivolti contro il TSH, che impediscono il normale funzionamento della ghiandola. Tra i principali sintomi vi sono: tremore di tutto il corpo, perdita di peso inspiegabile, sudorazione abbondante, insonnia, agitazione e irrequietezza, tachicardia (battito accelerato del cuore) ipertensione.

La diagnosi è molto agevole potendo misurare i valori di FT3 e FT4, TSH-r, e altri parametri correlati alla funzione tiroidea.

L’alimentazione riveste un ruolo importantissimo in caso di alterazione della tiroide. In caso di ipotiroidismo, ad esempio, è necessario ridurre i cibi ad alto contenuto di grassi idrogenati: burro, margarine e oli vegetali di origine non nota (diversi dall’ollio di oliva). Evitare le carenze di minerali fondamentali: ferro magnesio selenio Zinco, Iodio; le vitamine necessarie per un corretto funzionamento sono la Vit A, B6, B12, C, D, E. Chi soffre di ipertiroidismo dovrà fare attenzione al sale iodato. Il sale in generale va usato con parsimonia, verificando anche a quello contenuto nei prodotti alimentari industriali (cracker, patatine, insaccati). Si sconsigliano anche tutte le sostanze eccitanti il sistema nervoso: caffeina, cola, bevande energetiche, un eccesso di proteine animali.

Anche le intolleranze alimentari incidono sulla funzione tiroidea. Il test ALCAT per la diagnosi delle intolleranze identifica gli alimenti da non introdurre nella dieta, perché potenziali competitori con gli ormoni tiroidei, specifici e individuali.

Le indicazioni personalizzate del nutrizionista, consentono di stabilire una corretta alimentazione mirata a correggere naturalmente un iniziale squilibrio metabolico, e le conseguenze del caso.



Marzo 30, 2014 Newsletter

Cos’è la terapia chelante?

La terapia chelante rappresenta la prima scelta terapeutica nel trattamento di rimozioni dei metalli pesanti dall’organismo, e la principale indicazione nella prevenzione dei danni generati dai radicali liberi.Tra tutte le sostanze inquinanti, i metalli pesanti sono da considerare un elemento pericoloso con cui possiamo venire, volenti o nolenti, in contatto nella nostra quotidianità. Essi, infatti, possono trovarsi a nostra insaputa nei cibi, tessuti per abiti e vestiti, rivestimenti ambientali, vernici, farmaci, per citare alcuni dei principali veicoli.

I metalli sono tutti tossici?

Non tutti i metalli sono tossici, e soprattutto alcuni come il ferro, rame, selenio, zinco, a determinate concentrazioni sono assolutamente indispensabili per lo svolgimento delle normali funzioni metaboliche dell’organismo, il problema è che a dosi elevate risultano essere tossici e dannosi.

Quali sono i metalli che possono risultare tossici?

Alcuni metalli tossici, come il piombo, mercurio, alluminio, cadmio, esercitano effetti dannosi sull’organismo anche a bassissime dosi o concentrazioni.

Dove si accumulano i metalli?

I metalli si accumulano lentamente e progressivamente nel nostro corpo ad esempio a livello del tessuto adiposo, nelle ossa, nel fegato, nel cervello, nella tiroide.

Dove si trovano i principali metalli pesanti e tossici e come li introduciamo nell’organismo?

Le principali fonti maggiori di mercurio sono:

  • amalgame per otturazioni dentarie

  • thimerosal ( vaccini )

  • sostanze detergenti per pavimenti

  • pesci di grossa taglia ( tonno, spada )

  • cosmetici

  • talco

  • coloranti

  • diuretici

  • lassativi

  • tatuaggi

  • supposte anti infiammatorie e per emorroidi

  • pomate anti psoriasi

Le fonti di tossicità da alluminio:

  • lattine di birra

  • lattine in generale

  • lievito in polvere

  • aspirine tamponate

  • pentole e stoviglie di alluminio

  • carta di alluminio per o cibi

  • usato come conservante in alcuni condimenti per i primi, sott’aceto, cosmetici,

  • antiacidi

Le fonti di tossicità per il piombo:

  • vernici

  • inquinanti ambientali come gli scarichi dei motori delle auto

  • saldature e fonderie

  • sigarette

  • insetticidi

  • conserve

  • acqua di rubinetto

  • ortaggi coltivati in zone ad alto rischio  di inquinamento

Cosa crea il metallo tossico nell’organismo?

Il metallo blocca il lavoro di particolari enzimi all’interno delle cellule, progressivamente si riduce la produzione di energia fino ad arrivare al blocco cellulare.

Quali sono i sintomi da intossicazione da metalli pesanti?

La sintomatologia da metalli tossici è molto varia e può coinvolgere numerosi organi e apparati. In base al tessuto intaccato, avremo dei sintomi tipici e specifici correlati, ad esempio problemi neurologici se i metalli si depositano nel sistema nervoso centrale, disfunzioni ormonali tiroidee se si depositano nella tiroide, disturbi intestinali, polmonari. etc…

Siamo tutti a rischio?

Potenzialmente sì. Le categorie più a rischio sono bambini e anziani, o malati cronici.

Quali indagini si possono eseguire per sapere se si è predisposti ad accumulare i metalli pesanti?

Il mineralogramma rappresenta l’indagine non invasiva di elezione per la ricerca di metalli pesanti nel nostro organismo; la procedura è semplice e non invasiva, si tagliano i capelli della zona nucale, circa un grammo (1 cucchiaio), in pratica si tratta di una biopsia tessutale vera e propria. Grazie al mineralogramma, possiamo  scoprire l’accumulo qualitativo e quantitativo dei vari tipi di metallo pesante e dove tende la loro localizzazione. Si sceglie il capello perché rappresenta un tessuto stabile nel tempo ed affidabile.

Un’altra analisi utile si può eseguire attraverso l’esame delle urine.L’analisi della presenza di metalli pesanti nell’urina è indice del loro accumulo nell’organismo. Si possono ricercare i principali metalli tossici.

 Possiamo curare questa intossicazione? Esiste una terapia efficace?

Si esiste una terapia efficace che ci chiama CHELAZIONE. Ci sono alcuni principi attivi molto efficaci che si utilizzano da diversi anni con successi terapeutici.

Cosa si usa per chelare i metalli pesanti dall’organismo?

La prima scelta cade sull’uso di EDTA ( acido Etilen Diammino Tetracetico ) endovena, la metodica richiede esperienza da parte dell’operatore e consiste in una seduta terapeutica della durata da 1 fino a 2 ore.

Altre sostanze utilizzate sempre per via endo vena, sono acido lipoico, glutatione ridotto, ATP, Vitamina C ad alti dosaggi, N-Acetil-Cisteina. Queste sono tutte sostanze ad azione chelante, che hanno cioè lo scopo di eliminare i radicali liberi che si formano dalle reazioni biochimiche degli alimenti e dei metalli tossici.

A volte è possibile associare una terapia per via orale, con prodotti gastroprotetti, in grado di catturare le molecole dannose dall’organismo ed eliminarle attraverso i reni, fegato e intestino.

Meccanismi d’azione e benefici della terapia chelante:

  • chelazione, rimozione dei metalli tossici

  • chelazione dei depositi di calcio presenti sulle pareti dei capillari del microcircolo, con attivazione e ossigenazione dei capillari periferici

  • ha effetto anti radicali liberi ( corregge lo stress ossidativo )

  • riduce l’adesione delle piastrine

  • riduce il colesterolo e la sua adesione nelle arterie

  Indicazioni della terapia chelante ( dove la causa è un accumulo di metalli e   sostanze tossiche negli organi )

  • patologie della circolazione e del cuore ( ischemia, arterioscelrosi )

  • patologie della retina con elevato stress ossidativo

  • patologie renali

  • ipertensione arteriosa

  • patologie del fegato

  • invecchiamento ( aging )

  • intossicazione da agenti tossici

  • MCS ( sensibilità chimica multipla )

  • prevenzione e trattamento dei disturbi generati dall’arteriosclerosi

  • intossicazione da metalli pesanti

  • dolori osteo articolari causati da depositi di tossine nei tessuti

  • malattie del collagene ( collagenopatie )



Marzo 4, 2014 Newsletter

La mancanza di tempo e lo stile di vita sempre più frenetico portano spesso alla scelta di prodotti da forno di tipo industriale, che spesso utilizzano,per la levitazione dei loro impasti, composti chimici.

Il LIEVITO CHIMICO è infatti costituito da sostanze che, in determinate condizioni, reagiscono tra di loro o con altri componenti dell’impasto per generare gas (quasi sempre anidride carbonica) che permette, come nel caso della lievitazione da lievito di birra, l’espansione dell’impasto.

I lieviti chimici più diffusi sono: CARBONATO DI SODIO, POTASSIO, AMMONIO E MAGNESIO (E500, E 501, E503, E504), TARTRATO DI SODIO (E335), TARTRATO DI POTASSIO (O CREMOR TARTARO, E336), ACIDO TARTARICO (E 334) e

GLUCONE DELTA LATTTONE (E575). Si tratta di composti chimici presenti anche in natura ma che, nella maggioranza dei casi, vengono prodotti per sintesi chimica.

Queste sostanze, per legge, sono classificate come ADDITIVI e sono tecnicamente definite “AGENTI LIEVITANTI”. La loro caratteristica è quella di generare gas molto più velocemente dei loro “parenti” biologici e quindi di risultare più adatte alla preparazione di dolci industriali.

L’azione chimica di questi agenti, tuttavia, non avviene solo nell’impasto ma continua anche nello stomaco e successivamente nell’intestino, favorendo PROCESSI DI FERMENTAZIONE che creano i fastidiosi effetti di GONFIORE, METEORISMO e AEROFAGIA, dati dalla presenza di CO2, che compaiono puntuali al termine di un’abbuffata.

Dagli ultimi studi compiuti dal POLICLINICO SAN MATTEO di PAVIA utilizzando il test ALCAT

l’unico esame sulle intolleranze riconosciuto in America dalla FDA (Food and Drug Administration)

  • è stato possibile rilevare come, nel corso del 2013, tutti coloro che presentavano un’intolleranza ai LIEVITI nei mesi di NOVEMBRE e DICEMBRE mostravano un’alta positività al LIEVITO CHIMICO. Tale risultato è facilmente comprensibile se si tiene conto del grande consumo di dolci e prodotti da forno LIEVITATI CHIMICAMENTE che vengono consumati durante le vacanze natalizie. Tale situazione crea le condizioni ottimali per lo sviluppo di CANDIDA abicans che, nel mese di GENNAIO, raggiunge il picco di intolleranza (dati ALCAT dall’Ospedale San Matteo di Pavia, anno 2013). La presenza di questo fungo, oltre a provocare gli sgradevoli e conosciuti effetti, predispone anche all’insorgenza di INTOLLERANZE ALIMENTARI a causa dell’aumentata permeabilità della mucosa intestinale (DISBIOSI).

Per scongiurare tale situazione al ritorno delle vacanze, quindi, cercate di evitare, per quanto possibile, dolci e prodotti da forno lievitati chimicamente ed approfittate delle ferie per cucinare dolci fatti in casa con lievito madre, lasciando i “chimici dei dolci” nei loro asettici barattoli.

Articolo di Davide Iozzi, Biologo nutrizionista, esperto in nutrizione umana, collaboratore dell’Istituto di Medicina Genetica Preventiva (I.M.Ge.P.) di Milano.



Febbraio 23, 2014 Newsletter

I composti chimici sintetici usati nei processi di preparazione, trasformazione, conservazione e confezionamento dei prodotti alimentari potrebbero essere dannosi nel lungo periodo per la salute umana, avvertono i ricercatori del Food Packaging Forum Foundation di Zurigo, Svizzera, in un commento pubblicato sul Journal of Epidemiology e Community Health.

«La maggior parte di queste sostanze non sono inerti e potrebbero penetrare nel cibo che mangiamo» esordisce Jane Muncke, tra gli autori dell’articolo. Anche se molte di queste sostanze sono soggette a regolamentazione, le persone che mangiano cibi preconfezionati o trasformati rischiano di essere cronicamente esposte, e poco si sa circa l’impatto a lungo termine dei cosiddetti Fcm, Food Contact Materials, non solo sullo stato di salute, ma anche sulle fasi cruciali dello sviluppo, come la gestazione. «L’esposizione permanente a questi agenti chimici è motivo di preoccupazione per diverse ragioni, tra cui il fatto che sostanze tossiche note per essere causa del cancro, come la formaldeide, sono legalmente utilizzate.

La formaldeide è presente per esempio, anche se a livelli bassi, nelle bottiglie di plastica usate per le bevande e nelle stoviglie in melamina» continua la ricercatrice. Ma tra i Food Contact Materials ci sono anche altri composti chimici, noti per interferire con la produzione di ormoni, come per esempio bisfenolo A, triclosan e ftalati. Anche il nichel presente nei terreni substance rivelando un metallo potenzialmente dannoso per la salute. Dalle allergie da contatto, allergie alimentari rivolge agli alimenti ricchi di nichel, all’aumento di peso per la competizione del metallo con alcuni ormoni regolarori del metabolismo.
Conservanti, Coloranti, additivi chimici, sono nocivi per la salute se presenti in quantità elevate nei cibi e se consumati quotidianamente.

Un test per ricercare la possibile presenza e accumulo di sostanze chimiche è il test ALCAT .
«Mentre ricercatori e produttori dibattono sulla pericolosità di queste sostanze e i politici lottano per soddisfare le esigenze delle parti interessate, i consumatori restano esposti tutti i giorni, per lo più in modo inconsapevole» rincara Muncke, ricordando che i composti chimici noti a contatto con il cibo sono più di 4.000, e che i loro potenziali effetti dannosi, in particolare ormonali, non vengono presi in considerazione nelle analisi tossicologiche di routine. «E questo dovrebbe non solo evocare seri dubbi sull’adeguatezza delle procedure in uso, ma anche spronare a una valutazione approfondita dei potenziali legami tra queste sostanze chimiche e patologie croniche come cancro, obesità, diabete e disturbi neurologici. Dato che molti cibi sono preconfezionati e che l’intera popolazione può essere esposta, è della massima importanza colmare in modo rapido ed esaustivo le lacune ancora presenti nelle nostre conoscenze sull’argomento»  conclude la ricercatrice.

J Epidemiol Community Health

 



Febbraio 18, 2014 Newsletter

I prodotti chimici industriali sono un pericolo per i bambini, e le loro tossine potrebbero causare un’epidemia di disturbi dello sviluppo cerebrale. L’allarme arriva da un articolo pubblicato su The Lancet Neurology da due dei maggiori esperti mondiali sul legame tra ambiente e salute dei bambini, che chiedono a tutti i Paesi di aggiornare le procedure di valutazione del rischio chimico.

«Negli ultimi sette anni il numero di sostanze chimiche tossiche per lo sviluppo neurologico è salito da 6 a 12, mentre il numero delle sostanze chimiche note per danneggiare il cervello, ma non regolamentate per proteggere la salute dei bambini è passato da 202 a 214» spiega Philippe Grandjean della Harvard School of Public Health di Boston. Tali sostanze pericolose possono trovarsi in oggetti di uso quotidiano: abbigliamento, mobili e giocattoli, ma i regolamenti attuali sono inadeguati per salvaguardare i bambini, il cui cervello è particolarmente vulnerabile ai tossici ambientali.

«Ci vuole una legge che obblighi i produttori a certificare che gli agenti chimici industriali, nuovi ed esistenti, siano stati detossificati o eliminati dai prodotti del commercio» riprende il ricercatore. sottolineando che è ormai ora di regole anche per i bambini, per evitare una futura pandemia di autismo, deficit di attenzione (Adhd), dislessia o paralisi cerebrale, con sofferenze e costi associati. «Il peso economico dell’avvelenamento da piombo tra i bambini negli Stati Uniti, per esempio, raggiunge già oggi i 50 miliardi di dollari, e quello per la tossicità da metilmercurio circa 5 miliardi.

Ma questo potrebbe essere solo la punta dell’iceberg» ammonisce Grandjean, ricordando che la stragrande maggioranza degli oltre ottantamila agenti chimici industriali usati in Nordamerica non sono mai stati testati per verificarne gli effetti tossici su feti e neonati. «L’esposizione a queste sostanze durante lo sviluppo può provocare lesioni al cervello a concentrazioni molto più basse di quelle nocive per gli adulti» puntualizza il ricercatore. E conclude: «La nostra preoccupazione è che sia già in atto un’epidemia silenziosa tra i bambini di tutto il mondo esposti a sostanze chimiche tossiche non riconosciute, che stanno a poco a poco erodendone l’intelligenza, alterandone i comportamenti, pregiudicandone i risultati futuri nella vita e nella società, specie nei Paesi in via di sviluppo».
The Lancet Neurology, 2014; 13(3): 330-333)

Un’attenzione particolare agli additivi e conservanti alimentari presenti in moltissimi alimenti di origine industriale. I conservanti alimentari, coloranti, additivi sono una delle cause che portano allo sviluppo di sindrome ipercinetica del bambino, deficit di attenzione, dermatite, intolleranze alimentari.

Sono agenti nascosti negli alimenti e a volte sono indicati solo in parte sulle etichette. Un’attenta raccolti dei dati, è necessaria per scoprire le abitudini alimentari del bambino e della famiglia, al fine di poter eseguire un test per la diagnosi di intolleranze ai conservanti e additivi attraverso il test ALCAT. ……..



Gennaio 8, 2014 Newsletter

Ebbene sì, è possibile che qualcuno tra noi possa soffrire di una serie di fastidiosi e persistenti disturbi che trovano come causa un’intolleranza agli alimenti appartenenti alla famiglia dei fughi. E non è difficile immaginarne le cause; basterebbe avere come abitudine mangiare cibo cinese qualche volta a settimana, e magari associare a ciò un consumo eccessivo di prodotti lievitati, scegliendo spesso una panetteria nella pausa pranzo, per sentirsi gonfi, irritati, soffrire di nausea, mal di testa e magari avere strane eruzioni cutanee.

Questo è solo un esempio per mostrare come comportamenti alimentari monotoni possano essere determinanti nell’insorgenza delle intolleranze alimentari, in particolare quelle ai funghi e ai lieviti; questi ultimi, da una recente analisi ottenuta dai referti ALCAT Test di IMGeP degli ultimi tre anni (*), sono risultate le intolleranze, dopo quella al Nichel più diffuse tra i nostri pazienti. Si pensa quindi che i soggetti intolleranti ai prodotti lievitati lo siano anche ai funghi poiché entrambi gli organismi sono eucariotici e fanno parte dello stesso ramo evolutivo; pertanto il nostro sistema immunitario è facile che riconosca e reagisca allo stesso modo nei confronti dei cibi appartenenti ad entrambi i gruppi proprio perché vicini biologicamente.

IMGeP- Istituto di Medicina Genetica Preventiva di Milano per poter meglio identificare questo tipo di reazioni avverse e valutarne più differenziatamente l’origine, ha voluto realizzare un nuovo pannello ALCAT 25 + 5. Questo nuovo Test ALCAT aggiunge, ai classici 25 alimenti del Pannello ATSP 25, cinque rappresentanti della famiglia dei Funghi. Il nostro ATPS 30 speciali Funghi potrà anche essere sfruttato per vagliare e confermare la correlazione tra intolleranza ai lieviti e ai funghi.

Perché proprio l’intolleranza ai funghi? Come dicevamo la moda del cibo cinese e la diffusione di alcune sostanze alla base di ormai molti integratori utilizzati per varie problematiche (prestazione sportiva, rafforzamento delle difese immunitarie..) potrebbero, nel complesso, arrivare ad accumularsi nel nostro organismo tanto da provocare intolleranza.

Senza nulla togliere alle proprietà straordinarie di alcuni estratti di funghi himalayani e alla cultura e al fascino della cucina orientale, sicuramente ricca di cibi dalle alte qualità organolettiche, che non merita altro che essere apprezzata e provata come le altre cucine di tutto il mondo; il nostro scopo non è certo negativizzare né l’integrazione né il cibo etnico. Il punto non sono gli ingredienti, le sostanze e i cibi di origine cinese, il punto è affidarsi troppo spesso a soluzioni alimentari veloci, comode, abbondanti ed economiche ma a lungo termine deleterie.
In conclusione, il messaggio importante è: “verifichiamo”, cosa ci sta intossicando? Troviamo ciò che non funziona nelle nostre abitudini alimentari, “disintossichiamoci” e “impariamo” memori dei malesseri sofferti che varietà e qualità dei cibi devono rientrare nella nostra quotidianità.

 



Ottobre 5, 2013 RASSEGNA STAMPA

Consigli pratici e 111 ricette per unire la salute al gusto: Intervista a Tiziana Colombo e domande/risposte introduttive al professor Giuseppe di Fede – Direttore Sanitario di IMBIO, Direttore Sanitario di I.M.Ge.P. (Istituto di Medicina Genetica, Preventiva e Personalizzata), prof. a.c. in Nutrigenomica presso l’Università di Pavia e vicepresidente di ARTOI (Associazione Ricerca Terapie Oncologiche Integrate), specialista in nutrizione e dietetica clinica, in medicina genetica preventiva, in ipertermia oncologica e immunoterapia

Milano, 21 maggio 2013: Intervista a Tiziana Colombo e domande/risposte introduttive al professor Di Fede

Prof. Giuseppe di Fede, ultimamente si sente spesso parlare di intolleranze….che cosa sono, e che differenze ci sono con le allergie

Per intolleranza alimentare si intende una reazione avversa dell’organismo verso alcuni alimenti o additivi, conservanti alimentari, lenta nel tempo e che puo’ coinvolgere diverse parti dell’organismo come intestino, stomaco, pelle.
Mentre nell’allergia c’è una reazione immediata, dopo aver ingerito un alimento,(esempio mangio una fragola e ho un immediata reazione con bolle sulla pelle), nell’ intolleranza invece c’è una reazione avversa più prolungata
nel tempo verso un alimento o un gruppo di alimenti che possono appartenere alla stessa famiglia alimentare (ad. esempio le solanacee: pomodoro, melanzana, peperone, patata), lenta nel tempo e soggetta ad accumulo, con introduzione frequente anche quotidiana dei cibi.
Può dare quindi fastidi continui, a volte silenti, o a volte con chiari sintomi di malessere come: coliti, stipsi, cefalea, mal di stomaco, dermatiti e cistiti o candidosi ricorrenti.

Ci sono analisi specifiche per testare e individuare sia le allergie che le intolleranze alimentari?
Le allergie alimentari si possono testare con i Rast degli alimenti.
Per le intolleranze alimentari invece c’è molta confusione, in quanto i test oramai li fanno tutti, dalla farmacia alla erboristeria, con mezzi a dir poco
fantasiosi senza dare un servizio concreto e affidabile all’utente che, del tutto sprovveduto, accetta l’esito del test eseguito e nella maggioranza dei casi, non riceve le spiegazioni adeguate al risultato generando delle serie problematiche di gestione dell’alimentazione.
Un solo test, riconosciuto sia come metodica di analisi che per gli estratti alimentari, è il test Alcat.
Noi usiamo ALcat test che è l’unico test riconosciuto dalla Food and Drug amministration Americana, l’unico ente che riconosce sia i test che le apparecchiature ed anche lo stesso sistema. Alcat è un test citotossico automatizzato che si effettua utilizzando una apposita macchina da laboratorio dedicata e si esegue tramite un prelievo di sangue venoso.
La possibilità di eseguire i test su alimenti, conservanti, additivi, funghi e muffe offre un certo vantaggio nell’indagine diagnostica una volta che i test tradizionali non hanno dato la risposta al problema clinico. Alcat esiste da oltre 15 anni, ed è utilizzato in 52 paesi del mondo.
Noi abbiamo una media di circa 2500 test all’anno effettuati su pazienti che cercano nel test Alcat la risposta e la risoluzione al loro problema.

Quali sono le intolleranze che riscontrate maggiormente negli ultimi tempi?
Ogni giorno, su un campione medio di circa una quindicina di persone, almeno 2 su 5 risultano intolleranti al frumento e al glutine, poi seguono intolleranza al latte e derivati, e una parte risulta intollerante al nichel.

Come è nata la vostra collaborazione con Tiziana Colombo meglio conosciuta nel web come “nonna paperina”?
Tiziana è una mia paziente e visto che, con la mia compagna Paola Carassai, erano anni che cercavamo una collaboratrice che ci portasse avanti il progetto delle ricette di cucina adatte per chi soffre di intolleranze alimentari, e non solo, parlando con lei ci siamo trovati subito in linea. Abbiamo gli
stessi pensieri, la stessa volontà e soprattutto la serietà nel dare una corretta informazione alla gente, che ha problemi di intolleranze alimentari in famiglia e quindi nella cucina di tutti i giorni.

Ora chiediamo direttamente a Tiziana perché ha deciso di scrivere questo libro.
Tiziana:
Questo libro nasce per una ragione molto semplice: è un’insieme di informazioni che non sono mai riuscita a trovare quando mi servivano. Cercavo ricette appetitose e immagini attraenti, dalle quali trasparisse empatia verso le persone con intolleranze alimentari e le loro difficoltà
quotidiane, cercavo idee per proporre dei piatti che tutti potessero condividere, senza neanche rendersi conto che erano “per malati” privi di nichel.
Cercavo informazioni sui prodotti nuovi che dovevo cominciare a mangiare e avevano per me nomi assurdi: quinoa, amaranto, soia, gomasio, etc.

Cercavo notizie su questo problema, consigli e tanto altro e saltavo come una palla rimbalzina da un sito all’altro. Allora è nato il progetto ambizioso di provare a riunire più informazioni, dati e ricette possibili per aiutare chiunque ha il mio stesso problema.
Il percorso che mi ha portata a prendere coscienza di quanto le allergie e le intolleranze incidano sulla vita delle persone e come conviverci al meglio è simile a quello di molti altri.

Quando mi è stata riscontrata l’intolleranza al nichel prima, e al lattosio dopo, mi è crollato il mondo addosso.
L’idea che alimenti generalmente innocui potessero essere dannosi per il mio organismo mi faceva stare peggio.
All’improvviso, le pietanze preferite si sono trasformate in un percorso minato. Le persone, lo si percepisce, sono realmente spaventate all’idea di invitarci a casa loro. Ho impiegato parecchio a capire ciò che dovevo sapere e come fare per spiegarlo agli altri, in particolare a mia suocera e a mio figlio Stefano. L’unica persona che mi ha sostenuto moralmente fin dall’inizio è stata mia sorella Maria Grazia a cui dedico questo risultato.

Non era un’artista in cucina, ma si impegnava a preparare piattini invitanti e gustosi da mangiare proprio per farmi capire che il mondo non era finito con la mia intolleranza…
Tuttavia, mi sono ben presto resa conto che non sono sola. Ho scoperto quanti “nichelini” hanno il mio stesso problema. Dalla condivisione delle mie esperienze sono emerse problematiche simili, non ultima la difficoltà di spiegare agli altri quali siano i problemi e come chiedere il loro aiuto.

Dalla mia esperienza fatta prima di giungere alla diagnosi dell’intolleranza, e dalla conseguente necessità di cominciare ad alimentarsi in maniera diversa, ho capito quanto ogni momento, all’apparenza drammatico, che ti si presenta nel cammino della vita, sia un’occasione per mettersi in gioco, per conoscere i punti forti del proprio carattere.
Ho pensato spesso di non farcela, ma dopo il percorso di conoscenza costruito, dopo gli studi effettuati in materia e dopo tutti i consigli ottenuti dal “mio Prof”, ho ricominciato a credere in me e ora mi sento capace di affrontare tutto.
È’ stata un’esperienza che mi dato modo di riamare la vita perché mi ha concesso la scoperta di questa forza interiore e di questa convinzione di
me, questo amore per la vita. I miei ricordi di momenti tristi che sono passati mi hanno insegnato molto.
Devo dire che un aiuto l’ho avuto anche dal sito di cucina http://www.nonnapaperina.it che ho aperto anni fa. Quando mi hanno riscontrato l’intolleranza non pubblicavo più ricette, mangiavo solo riso in bianco e bistecche ai ferri con insalata. Poi un giorno mio marito mi ha convinto a
provare a cucinare qualche ricetta adattandola al mio problema, altrimenti cosa avrebbero potuto pensare gli affezionati fan di Nonna Paperina? E così ho fatto!
Comunque ora riesco a mangiare bene, e stare bene con me stessa e gli altri, e questo è importante! Ho scoperto nel mio percorso ricette davvero deliziose e quando dicevo, perché ora non lo faccio più, “non so se può piacervi” oppure “l’ho fatto per poterlo mangiare anche io” mi guardavano come un’extraterrestre…
La cucina o la ami o la odi. E quando la ami non c’è nulla e niente che ti può far rinunciare a lei. In tutto ciò che fai, in tutti i momenti liberi, trovo sempre un motivo e un’occasione per pensare a un piatto, un ingrediente, una ricetta.
Ogni momento libero che ho è un’occasione per creare, sperimentare, provare una nuova ricetta.
E il momento più bello è quando ciò che ho creato, aggiungendoci sempre quell’ingrediente magico che è l’amore, lo condivido con gli altri.
Aspetto con ansia il loro giudizio, le loro parole, con la paura di aver fallito, di non essere riuscita a soddisfare le loro aspettative.
Sì, perché non si cucina mai un piatto per sé stessi, ma per poterlo condividere con gli altri, per riuscire a donare a chi ti stima un po’ del tuo amore. La mia idea è che chi mangia i piatti che preparo possa avere una percezione assoluta della passione con cui preparo le mie ricette e con cui vengono servite.
Questa filosofia è condivisa anche da Paola e Giuseppe, che mi hanno convinto a mettere insieme le mie idee e cucinare i piatti da divulgare a chi ha lo stesso mio problema.
Le nozioni e le ricette contenute in questo libro sono frutto di informazioni derivate da studi e testi specializzati. Non hanno lo scopo di diagnosticare o fare prescrizioni per patologie mediche o psicologiche, né sostengono o pretendono di prevenire, trattare, mitigare o guarire tali condizioni.
Per un parere medico o altre informazioni specifiche, consultate uno specialista, meglio se vi recate presso l’Istituto di Medicina Biologica (Imbio) dove è possibile diagnosticare l’intolleranza al nichel tramite ALCAT, il test che consente anche di verificare la sensibilità agli additivi alimentari compreso il nichel solfato.
I risultati di ALCAT Test permettono, inoltre, di mettere a punto un iter terapeutico personalizzato, che prevede un regime alimentare adeguato, e
una terapia di supporto a scopo desensibilizzante e detossificante.

IL LIBRO DI TIZIANA COLOMBO
L’intolleranza? La cuciniamo!
Consigli pratici e 111 ricette per unire la salute al gusto
di Tiziana Colombo
collana La cucina di Tiziana
90 illustrazioni a colori
cartonato
EAN 9788836626618
€ 20,00

Per informazioni:
www.silvanaeditoriale.it



La terapia con campi magnetici è tradizionalmente usata per patologie ortopediche; negli ultimi anni alcuni studi hanno dimostrato l’utilità anche in altre patologie ed in particolare quelle di pertinenza neurologica.

Nel nostro Istituto dal 2001 il trattamento con campi elettromagnetici di bassa ed alta frequenza viene utilizzata singolarmente o in associazione con trattamenti farmacologici in varie situazioni. Lo scopo della relazione è di illustrare tre casi clinici in cui la terapia con campi elettromagnetici a frequenza ultrabassa si è dimostrata efficace; la tecnologia utilizzata è la risonanza ciclotronica endogena.

Per tutti i casi lo schema terapeutico prevedeva 2 frazioni settimana della durata di 30 minuti ciascuna per un totale di 12 sedute con una valutazione clinica a metà trattamento.

Primo caso: uomo di 41 anni con diagnosi radiologica di sclerosi multipla (luglio 2003-lesioni all’encefalo e midollo spinale); gli esami evidenziarono alti valori di stress ossidativo.

La sintomatologia consisteva in dolori in sede cervicale e lombare e un moderato deficit motorio dell’arto inferiore destro.
Trattamento terapeutico: trattamento con prodotti antiossidanti e terapia con campi elettromagnetici con frequenza variabile da 10 a 30 Hz e intensità variabile tra 10 e 25 microTesla.
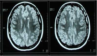
Al termine del trattamento si era verificato un significativo miglioramento dei sintomi; la RM di controllo ha evidenziato una riduzione del numero e dimensioni delle lesioni attive. Tale quadro si mantiene anche alla ultima RM(febbraio 2007)

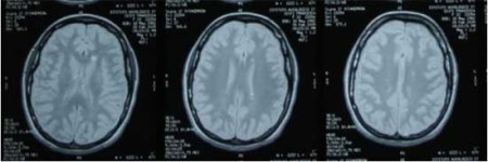
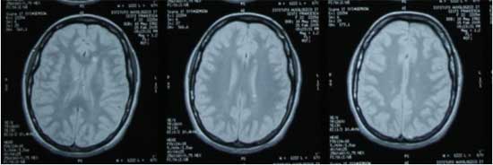
Secondo caso: donna di 23 anni con quadro radiologico (RM 2005)di sclerosi multipla e lesioni encefaliche e midollari con importanti deficit motori neurologici;gli esami evidenziarono alti livelli di stress ossidativo; la paziente era in cura con Interferone da un anno con malattia stabile.
0801_1
0801_2

Trattamento terapeutico:campi elettromagnetici con frequenza variabile tra 10 e 20 Hz e intensità variabile tra 20 e 30 microTesla;come terapia di supporto trattamento energico con prodotti antiossidanti.
L’ultima RM(dicembre 2006) ha mostrato una significativa riduzione delle lesioni ed in particolare modo di quelle midollari.
0801_4
0801_3

Terzo caso: uomo di 70 anni con broncopneumopatia cronica severa( stadio III Gold) in cura da alcuni anni con broncodilatatori e steroidi associata disfunzione sistodiastolica ventricolare sinistra.
I sintomi più evidenti erano la dispnea ed episodi continui di apnea notturna che limitavano molto la qualità di vita.
Dopo cinque sedute con campi elettromagnetici il paziente riferiva un notevole miglioramento della quantità e qualità del sonno e seppure meno evidente anche della dispnea.
La frequenza era di 40-45 Hz con una intensità tra 70 e 90 microTesla.
Alla fine del ciclo di terapia era ben evidente un miglioramento dei parametri respiratori ed anche della qualità di vita. La malattia era radiologicamente stabile.

In tutti e tre i casi riportati l’aggiunta di campi elettromagnetici al trattamento farmacologico ha evidenziato un miglioramento della qualità di vita con quadro radiologico di regressione in 2 casi e stabilità nel terzo.
In considerazione degli aspetti prognostici,psicologici e socioeconomici di queste patologie a nostro avviso è un risultato importante.
Oltretutto il trattamento con campi elettromagnetici è stato ben tollerato e senza effetti collaterali.
Pertanto riteniamo che la terapia con campi elettromagnetici a frequenza ultrabassa possa rappresentare una valida opzione in associazione con altri presidi in una strategia terapeutica integrata; inoltre la possibilità di eseguire eventualmente il trattamento a domicilio risulta particolarmente interessante.

Comunque,in futuro è auspicabile la costituzione di adeguati studi clinici controllati al fine di approfondire in maniera sempre più dettagliata gli aspetti concernenti i parametri tecnici,la sinergia con altre terapie e l’interazione con tessuti biologici.

del Prof. Giuseppe di Fede e Marco G. M. Mancuso

da ELECTROMAGNETIC BIOLOGY AND MEDICINE Volume 26, Numero 4 Anno 2007



Gennaio 1, 2013 Newsletter

L’alcool è una sostanza di origine naturale proveniente dalla fermentazione e/o distillazione di cereali, frutta o verdura. È conosciuto come la sostanza psicoattiva più antica e più diffusa. Ma se è di origine naturale, come mai può arrivare a creare assuefazione, tossicità ed effetti paragonabili a quelli di una droga ad azione tossica? La risposta sta nella via metabolica utilizzata che fa sì che entri subito nel circolo sanguigno, raggiungendo velocemente il cervello con effetti neurologici immediati. Da qui la dipendenza, il consumo eccessivo fino ad arrivare a squilibri nutritivi e a gravi complicanze per fegato, pancreas, stomaco, sistema nervoso. Alcool e farmaci utilizzano la stessa via metabolica per cui attenzione alle reazioni indesiderate se si assumono medicinali.

Secondo alcuni recenti studi, il “piacere dell’alcool” dipende, insieme con altri fattori, da una predisposizione genetica, così come il “reggere l’alcool” è dovuto al nostro DNA. Il tutto dipende naturalmente dalle dosi assunte, dallo stato di salute e dal metabolismo del soggetto. La dose giornaliera di alcool accettabile corrisponde a 0,6-0,7 g/kg di peso corporeo.

Oggigiorno l’alcolismo è una piaga sociale che colpisce non solo gli adulti, ma anche i più giovani.
L’alcool è la nuova moda degli adolescenti: si comincia con il famoso happy hour per continuare con birra, bevande alcoliche di ogni genere e colore, superalcolici. Non si tratta di “gusto del bere” ma di un mezzo per socializzare fino a raggiungere la dipendenza. Quella diffusa tra gli adolescenti non è di certo la “filosofia” del piacere di gustarsi un buon bicchiere di vino con gli amici! Il vino tra l’altro, anche se alcolico, nelle giuste dosi ha effetti benefici sulla salute. Per la ricchezza nutrizionale che lo distingue, può essere considerato un alimento. Quella del vino è una vera e propria cultura. E’ conosciuto fin dall’antichità per i suoi effetti benefici sull’uomo e ancora oggi diversi studi attestano gli effetti positivi che può avere se consumato con moderazione. Il vino con minori controindicazioni fisiologiche è quello a basso contenuto di tannini, poco alcolico, poco aromatico e non manipolato. Le proprietà benefiche del vino derivano dalla presenza di polifenoli e antociani, sostanze antiossidanti e quindi antitumorali. Inoltre, la presenza di resveratrolo, un polifenolo, gli conferisce la capacità di ridurre il rischio di malattie cardiovascolari. L’acido tartarico invece è un antitumorale specifico per la prostata.

Il vino rosso, rispetto a quello bianco, presenta una maggior concentrazione di polifenoli e quindi una maggior capacità antitumorale. Il vino bianco, essendo un vino meno “strutturato”, e quindi meno forte, necessità dell’aggiunta di conservanti e stabilizzanti, ecco perché è spesso responsabile del cosiddetto “cerchio alla testa”.

La bella notizia è che il vino può essere integrato nei pasti delle diete dimagranti. Al di là del suo contenuto calorico è, infatti, più importante conoscere le caratteristiche degli altri alimenti che compongono un determinato pasto: se ad esempio si tratta di un pasto con un buon apporto di zuccheri, allora sarà bene evitare l’associazione del vino e in particolare sarà il paziente diabetico a dover fare molta attenzione.

Ecco perché consiglio sempre di attenersi al consiglio di uno specialista. Particolare attenzione dovranno fare anche i soggetti con intolleranze alimentari e, parlando di vino, mi riferisco agli intolleranti al nichel ad esempio. Il nichel è un metallo presente nel terreno in grado contaminare frutta, verdura e prodotti da essi derivanti. Le bevande alcoliche possono esserne contaminate anche per il processo di lavorazione che la materia prima subisce. Il nichel è presente nel vino per cui anche in questo caso sarà lo specialista a valutare la situazione nello specifico.

Se invece non avete allergie o intolleranze diagnosticate ma, in seguito ad un paio di bicchieri di vino avvertite sintomi quali difficoltà digestive, reflusso gastrico, eruzioni cutanee, ecc., allora sarà bene effettuare l’ALCAT Test per le intolleranze alimentari (i sintomi da intolleranza possono manifestarsi fino a 48 o anche 72 ore dopo). Nel caso di vino e bevande alcoliche in generale, la causa della vostra intolleranza potrà essere il nichel o uno degli additivi chimici aggiunti durante la lavorazione o l’alimento utilizzato come materia prima. L’ALCAT Test, presente da più di vent’anni nell’ambito dell’alimentazione, e validato da studi diversi condotti presso centri di ricerca, permette di testare alimenti, nichel, additivi chimici (coloranti, conservanti, stabilizzanti) ecc. con un semplice prelievo di sangue. In seguito potrete rivolgervi al vostro medico o nutrizionista di fiducia che vi aiuterà nel risolvere il vostro problema attraverso una terapia nutrizionale e non farmacologica.

Per concludere diciamo che il vino è di certo la bevanda che rende piacevoli i pasti con gli amici, tiene compagnia e ci rende allegri e rilassati ma è bene che non diventi il nostro amico fedele. A tale proposito, dato che può essere per diversi motivi considerato un “medicamento”, ricordiamo sempre che come tutte le medicine va assunto in modo controllato.

a cura della dr.ssa Jessica Barbieri, Biologa Nutrizionista, Consulente IMBIO  Istituto di Medicina Biologica Milano.


Copyright by IMBIO 2017. All rights reserved.